A missing or damaged tooth can do more than just make chewing uncomfortable. Depending on its location, it can have aesthetic implications and also cause alignment issues with your other teeth. If you're in need of tooth restoration, come to Dr. Louis Vita. As an established dental practice in Clifton, NJ, we offer our patients a variety of options for restorative dentistry and treatment.
When it comes to restorative dentistry, we offer the most appropriate option to address each specific situation. That's why we make it our business to treat patients like individuals and evaluate them thoroughly, one mouth at a time. Once we get a chance to assess your condition, we'll recommend a restorative dentistry solution designed specifically for you. And because we want you to be fully comfortable moving forward with treatment, we'll be happy to answer any questions you have along the way.
To find out more about your options for restorative dentistry or to schedule a consultation, call us today.









Restorative dentistry focuses on repairing or replacing teeth that are damaged, decayed, or missing in order to restore normal function and appearance. Treatments range from conservative fillings to more comprehensive solutions like crowns, bridges, implants and dentures depending on the extent of the problem. The goal is to reestablish chewing ability, maintain proper bite alignment and protect oral health to prevent future complications.
At Vita Head, Neck & Facial Pain Relief Center in Clifton, NJ, restorative care is coordinated with a broader focus on jaw function and comfort so restorations support both form and function. Each case is evaluated using clinical examination and appropriate imaging to select the most appropriate restorative option. Patients receive clear explanations about the purpose of each procedure and the expected outcomes before treatment begins.
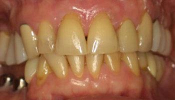
Restorative dentistry becomes necessary when a tooth is weakened by decay, fractured, extensively worn, or entirely missing. Signs that you may need restorative care include persistent tooth pain, difficulty chewing, visible damage, shifting adjacent teeth or changes in your bite. Ignoring these issues can allow further deterioration, increase the risk of infection and lead to more complex problems over time.
A dentist will determine the need for restoration through a thorough exam, medical and dental history review and imaging such as digital radiographs or CBCT when indicated. The decision to restore is guided by the goal of preserving as much natural tooth structure as possible while reestablishing function and comfort. Early treatment planning helps protect surrounding teeth and the supporting bone structure.
Common restorative options include composite fillings, inlays and onlays, porcelain or ceramic crowns, tooth-supported bridges, implant-supported crowns, partial and full dentures, and composite bonding. Each option is chosen based on the amount of remaining tooth structure, location in the mouth, functional demands and aesthetic goals. Modern materials and digital techniques allow restorations to be durable, natural-looking and precisely fitted to the patient.
The dentist will explain the pros and cons of each approach and recommend the most appropriate solution for the individual situation. In some cases a staged plan is recommended, beginning with stabilization and then moving to definitive restoration after healing or adjunctive treatments. Conservative alternatives are considered first, with more extensive options reserved for cases that require greater structural support or tooth replacement.
A dental crown is a custom-made cap that covers and protects a damaged or weakened tooth, restoring its shape and function. A bridge replaces one or more missing teeth by anchoring an artificial tooth to adjacent natural teeth or crowns, filling the gap and restoring chewing continuity. An implant is a titanium post placed in the jawbone that acts as an artificial tooth root and supports a crown, offering a standalone replacement that preserves adjacent teeth.
The choice among these options depends on factors such as the condition of neighboring teeth, bone volume, long-term goals and the desire to preserve natural tooth structure. Implants are often favored when the supporting bone is sufficient and the goal is to avoid altering adjacent teeth, while bridges can be efficient when adjacent teeth already need crowns. Your dentist will use diagnostic information to recommend the solution that balances durability, function and aesthetics.
A restorative consultation begins with a focused health history and clinical examination to evaluate the teeth, gums and bite relationship. Diagnostic tools commonly used include digital radiographs, intraoral photography and CBCT imaging when a three-dimensional assessment is needed to guide treatment. The dentist will assess structural damage, periodontal health and occlusion to form a comprehensive picture of your needs.
Following the evaluation, the dentist will present recommended options, describe the proposed procedures and outline the expected sequence of care. You will have the opportunity to ask questions about function, aesthetics and recovery so the final plan reflects your priorities. The practice emphasizes individualized planning to achieve reliable, long-lasting results.
Treatment length varies widely depending on the procedure: simple fillings are often completed in a single visit, crowns and bridges typically require two or more visits, and implants involve surgical placement followed by a healing period before the final restoration. Complex cases that combine periodontal care, orthodontics or full‑mouth reconstruction will have a longer timeline that is staged for predictable healing and function. Your dentist will outline a realistic schedule based on the selected treatment plan.
Recovery is generally straightforward; patients may experience mild soreness or sensitivity after procedures, which can be managed with short-term home care and follow-up visits. Specific aftercare instructions address oral hygiene, dietary recommendations and activity limitations to support healing. Regular checkups allow the clinician to monitor progress and address any concerns early.
Maintaining restored teeth requires consistent oral hygiene habits including brushing twice daily with a fluoride toothpaste and daily interdental cleaning to control plaque and prevent decay at restoration margins. Avoiding excessively hard or sticky foods and minimizing habits that stress teeth, such as chewing ice or using teeth as tools, helps protect restorations. If you have bruxism or clenching, a night guard can reduce wear and extend the life of restorations.
Routine dental visits for professional cleanings and periodic evaluations are important to detect early signs of wear, marginal breakdown or recurrent decay. The dentist will recommend maintenance intervals tailored to your restorative work and overall oral health status. Prompt attention to minor issues often prevents the need for more invasive treatments later.
Good candidates for dental implants generally have healthy gums, adequate jawbone volume to support an implant and overall medical conditions that allow for predictable healing. Smoking, uncontrolled systemic conditions and severe bone loss can affect candidacy, but many patients can still pursue implant therapy with appropriate preparatory treatments such as bone grafting. The candidacy assessment relies on clinical examination and imaging to determine the safest and most predictable path forward.
If implants are not appropriate, effective alternatives include bridges or removable prosthetics that restore function and aesthetics without surgical placement. Your dentist will review the relative benefits and limitations of each option, considering long-term maintenance and how the solution integrates with the rest of your mouth. The chosen plan balances durability, preservation of surrounding teeth and your individual oral health needs.
Restorative dentistry can influence the bite and jaw mechanics, so coordination with TMJ and facial pain assessment is important when planning care for patients who experience jaw discomfort or headaches. A restoration that alters occlusion must be designed to maintain a comfortable and balanced bite, and practitioners often evaluate jaw position, muscle activity and joint function as part of the planning process. Addressing functional issues alongside dental restoration reduces the risk of introducing or exacerbating joint-related symptoms.
When TMJ concerns are present, the practice will integrate appropriate diagnostic testing and conservative therapies into the restorative plan, such as occlusal adjustments, splint therapy or referral to a TMJ specialist when indicated. This collaborative approach aims to treat the source of pain and protect restorations by ensuring they work harmoniously with jaw function. Patients benefit from a care plan that considers both structural repair and long-term neuromuscular comfort.
The practice personalizes restorative plans by combining a detailed clinical exam with digital imaging tools such as CBCT, intraoral cameras and digital radiography to develop a clear diagnostic picture. Each patient receives a tailored recommendation that considers functional needs, aesthetic goals and any concurrent issues such as TMJ dysfunction or bruxism. Treatment sequencing is designed to stabilize oral health first and then restore teeth in a way that supports lasting function.
Care at the office emphasizes communication and education so patients understand the rationale for chosen therapies and the steps involved in treatment and maintenance. Follow-up and preventive strategies are built into the plan to monitor restorations and address changes over time. This methodical, patient-centered approach helps ensure restorations perform well and contribute to overall oral comfort and health.
We’re here to answer your questions and help you take the next step toward relief.
Have questions about your symptoms, treatment options, or scheduling an appointment? Our friendly and knowledgeable team is always happy to assist you. Whether you’re seeking relief from TMJ disorders, head and neck pain, facial discomfort, or general dental concerns, we take the time to listen and provide clear, thoughtful answers. From your first call to your ongoing care, we are committed to offering personalized support, helping you understand your options, and guiding you toward lasting comfort, improved function, and exceptional care.